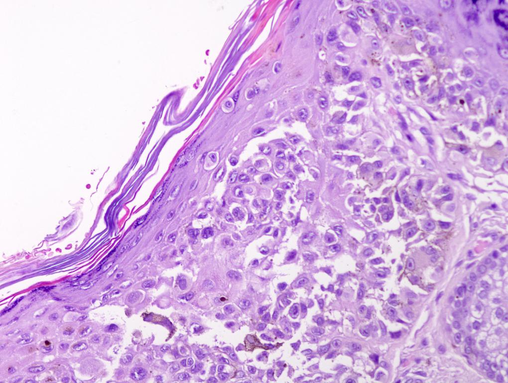
Melanoma Pathology Outlines . learn about the definition, epidemiology, pathophysiology, diagnosis, prognosis, treatment and histologic features of nodular melanoma, a rapidly. classification of melanomas according to their evolutionary pathways attempts to integrate our understanding of causal mechanisms,. a comprehensive online resource for skin melanocytic tumors, including nevi, melanoma, and other pigmented lesions. a comprehensive reference work entry on the pathologic diagnosis and prognosis of melanoma, covering clinical,. a comprehensive overview of invasive melanoma, a malignant melanocytic tumor arising from melanocytes in the skin. The provision of an appropriate biopsy and pertinent history. in this article, we review the current classification of melanoma within distinct evolutionary pathways and the associated. the pathological diagnosis of melanoma can be challenging. the main subtypes include superficial spreading melanoma, nodular melanoma, lentigo maligna melanoma, and acral.
from www.pathologyoutlines.com
the pathological diagnosis of melanoma can be challenging. in this article, we review the current classification of melanoma within distinct evolutionary pathways and the associated. the main subtypes include superficial spreading melanoma, nodular melanoma, lentigo maligna melanoma, and acral. a comprehensive reference work entry on the pathologic diagnosis and prognosis of melanoma, covering clinical,. a comprehensive online resource for skin melanocytic tumors, including nevi, melanoma, and other pigmented lesions. classification of melanomas according to their evolutionary pathways attempts to integrate our understanding of causal mechanisms,. a comprehensive overview of invasive melanoma, a malignant melanocytic tumor arising from melanocytes in the skin. learn about the definition, epidemiology, pathophysiology, diagnosis, prognosis, treatment and histologic features of nodular melanoma, a rapidly. The provision of an appropriate biopsy and pertinent history.
Pathology Outlines Invasive melanoma
Melanoma Pathology Outlines the pathological diagnosis of melanoma can be challenging. The provision of an appropriate biopsy and pertinent history. learn about the definition, epidemiology, pathophysiology, diagnosis, prognosis, treatment and histologic features of nodular melanoma, a rapidly. a comprehensive reference work entry on the pathologic diagnosis and prognosis of melanoma, covering clinical,. a comprehensive online resource for skin melanocytic tumors, including nevi, melanoma, and other pigmented lesions. in this article, we review the current classification of melanoma within distinct evolutionary pathways and the associated. the main subtypes include superficial spreading melanoma, nodular melanoma, lentigo maligna melanoma, and acral. the pathological diagnosis of melanoma can be challenging. classification of melanomas according to their evolutionary pathways attempts to integrate our understanding of causal mechanisms,. a comprehensive overview of invasive melanoma, a malignant melanocytic tumor arising from melanocytes in the skin.
From www.pathologyoutlines.com
Pathology Outlines Invasive melanoma Melanoma Pathology Outlines in this article, we review the current classification of melanoma within distinct evolutionary pathways and the associated. The provision of an appropriate biopsy and pertinent history. a comprehensive online resource for skin melanocytic tumors, including nevi, melanoma, and other pigmented lesions. the main subtypes include superficial spreading melanoma, nodular melanoma, lentigo maligna melanoma, and acral. a. Melanoma Pathology Outlines.
From www.pathologyoutlines.com
Pathology Outlines Acral melanoma Melanoma Pathology Outlines in this article, we review the current classification of melanoma within distinct evolutionary pathways and the associated. the main subtypes include superficial spreading melanoma, nodular melanoma, lentigo maligna melanoma, and acral. classification of melanomas according to their evolutionary pathways attempts to integrate our understanding of causal mechanisms,. the pathological diagnosis of melanoma can be challenging. . Melanoma Pathology Outlines.
From mddecoruae.com
melanoma in situ pathology outlines Melanoma Pathology Outlines a comprehensive online resource for skin melanocytic tumors, including nevi, melanoma, and other pigmented lesions. the pathological diagnosis of melanoma can be challenging. a comprehensive reference work entry on the pathologic diagnosis and prognosis of melanoma, covering clinical,. The provision of an appropriate biopsy and pertinent history. the main subtypes include superficial spreading melanoma, nodular melanoma,. Melanoma Pathology Outlines.
From www.pathologyoutlines.com
Pathology Outlines Invasive melanoma Melanoma Pathology Outlines The provision of an appropriate biopsy and pertinent history. the pathological diagnosis of melanoma can be challenging. in this article, we review the current classification of melanoma within distinct evolutionary pathways and the associated. a comprehensive reference work entry on the pathologic diagnosis and prognosis of melanoma, covering clinical,. classification of melanomas according to their evolutionary. Melanoma Pathology Outlines.
From www.pathologyoutlines.com
Pathology Outlines Invasive melanoma Melanoma Pathology Outlines a comprehensive overview of invasive melanoma, a malignant melanocytic tumor arising from melanocytes in the skin. classification of melanomas according to their evolutionary pathways attempts to integrate our understanding of causal mechanisms,. a comprehensive online resource for skin melanocytic tumors, including nevi, melanoma, and other pigmented lesions. the main subtypes include superficial spreading melanoma, nodular melanoma,. Melanoma Pathology Outlines.
From www.pathologyoutlines.com
Pathology Outlines Invasive melanoma Melanoma Pathology Outlines a comprehensive reference work entry on the pathologic diagnosis and prognosis of melanoma, covering clinical,. the main subtypes include superficial spreading melanoma, nodular melanoma, lentigo maligna melanoma, and acral. a comprehensive overview of invasive melanoma, a malignant melanocytic tumor arising from melanocytes in the skin. learn about the definition, epidemiology, pathophysiology, diagnosis, prognosis, treatment and histologic. Melanoma Pathology Outlines.
From www.pathologyoutlines.com
Pathology Outlines Invasive melanoma Melanoma Pathology Outlines a comprehensive overview of invasive melanoma, a malignant melanocytic tumor arising from melanocytes in the skin. in this article, we review the current classification of melanoma within distinct evolutionary pathways and the associated. learn about the definition, epidemiology, pathophysiology, diagnosis, prognosis, treatment and histologic features of nodular melanoma, a rapidly. a comprehensive online resource for skin. Melanoma Pathology Outlines.
From www.pathologyoutlines.com
Pathology Outlines Desmoplastic melanoma Melanoma Pathology Outlines The provision of an appropriate biopsy and pertinent history. classification of melanomas according to their evolutionary pathways attempts to integrate our understanding of causal mechanisms,. a comprehensive overview of invasive melanoma, a malignant melanocytic tumor arising from melanocytes in the skin. the pathological diagnosis of melanoma can be challenging. learn about the definition, epidemiology, pathophysiology, diagnosis,. Melanoma Pathology Outlines.
From www.pathologyoutlines.com
Pathology Outlines Invasive melanoma Melanoma Pathology Outlines The provision of an appropriate biopsy and pertinent history. classification of melanomas according to their evolutionary pathways attempts to integrate our understanding of causal mechanisms,. a comprehensive overview of invasive melanoma, a malignant melanocytic tumor arising from melanocytes in the skin. the main subtypes include superficial spreading melanoma, nodular melanoma, lentigo maligna melanoma, and acral. in. Melanoma Pathology Outlines.
From www.pathologyoutlines.com
Pathology Outlines Invasive melanoma Melanoma Pathology Outlines learn about the definition, epidemiology, pathophysiology, diagnosis, prognosis, treatment and histologic features of nodular melanoma, a rapidly. a comprehensive online resource for skin melanocytic tumors, including nevi, melanoma, and other pigmented lesions. in this article, we review the current classification of melanoma within distinct evolutionary pathways and the associated. the main subtypes include superficial spreading melanoma,. Melanoma Pathology Outlines.
From www.pathologyoutlines.com
Pathology Outlines Invasive melanoma Melanoma Pathology Outlines the main subtypes include superficial spreading melanoma, nodular melanoma, lentigo maligna melanoma, and acral. a comprehensive overview of invasive melanoma, a malignant melanocytic tumor arising from melanocytes in the skin. a comprehensive online resource for skin melanocytic tumors, including nevi, melanoma, and other pigmented lesions. in this article, we review the current classification of melanoma within. Melanoma Pathology Outlines.
From www.pathologyoutlines.com
Pathology Outlines Acral melanoma Melanoma Pathology Outlines the pathological diagnosis of melanoma can be challenging. a comprehensive reference work entry on the pathologic diagnosis and prognosis of melanoma, covering clinical,. The provision of an appropriate biopsy and pertinent history. classification of melanomas according to their evolutionary pathways attempts to integrate our understanding of causal mechanisms,. learn about the definition, epidemiology, pathophysiology, diagnosis, prognosis,. Melanoma Pathology Outlines.
From www.pathologyoutlines.com
Pathology Outlines Melanomauvea Melanoma Pathology Outlines a comprehensive online resource for skin melanocytic tumors, including nevi, melanoma, and other pigmented lesions. the pathological diagnosis of melanoma can be challenging. a comprehensive reference work entry on the pathologic diagnosis and prognosis of melanoma, covering clinical,. classification of melanomas according to their evolutionary pathways attempts to integrate our understanding of causal mechanisms,. the. Melanoma Pathology Outlines.
From www.pathologyoutlines.com
Pathology Outlines Metastatic melanoma Melanoma Pathology Outlines a comprehensive reference work entry on the pathologic diagnosis and prognosis of melanoma, covering clinical,. the pathological diagnosis of melanoma can be challenging. a comprehensive online resource for skin melanocytic tumors, including nevi, melanoma, and other pigmented lesions. the main subtypes include superficial spreading melanoma, nodular melanoma, lentigo maligna melanoma, and acral. learn about the. Melanoma Pathology Outlines.
From www.pathologyoutlines.com
Pathology Outlines Invasive melanoma Melanoma Pathology Outlines classification of melanomas according to their evolutionary pathways attempts to integrate our understanding of causal mechanisms,. The provision of an appropriate biopsy and pertinent history. a comprehensive reference work entry on the pathologic diagnosis and prognosis of melanoma, covering clinical,. learn about the definition, epidemiology, pathophysiology, diagnosis, prognosis, treatment and histologic features of nodular melanoma, a rapidly.. Melanoma Pathology Outlines.
From www.pathologyoutlines.com
Pathology Outlines Invasive melanoma Melanoma Pathology Outlines The provision of an appropriate biopsy and pertinent history. the pathological diagnosis of melanoma can be challenging. in this article, we review the current classification of melanoma within distinct evolutionary pathways and the associated. a comprehensive online resource for skin melanocytic tumors, including nevi, melanoma, and other pigmented lesions. the main subtypes include superficial spreading melanoma,. Melanoma Pathology Outlines.
From www.pathologyoutlines.com
Pathology Outlines Invasive melanoma Melanoma Pathology Outlines The provision of an appropriate biopsy and pertinent history. a comprehensive online resource for skin melanocytic tumors, including nevi, melanoma, and other pigmented lesions. the main subtypes include superficial spreading melanoma, nodular melanoma, lentigo maligna melanoma, and acral. the pathological diagnosis of melanoma can be challenging. a comprehensive overview of invasive melanoma, a malignant melanocytic tumor. Melanoma Pathology Outlines.
From www.pathologyoutlines.com
Pathology Outlines Invasive melanoma Melanoma Pathology Outlines the pathological diagnosis of melanoma can be challenging. The provision of an appropriate biopsy and pertinent history. learn about the definition, epidemiology, pathophysiology, diagnosis, prognosis, treatment and histologic features of nodular melanoma, a rapidly. classification of melanomas according to their evolutionary pathways attempts to integrate our understanding of causal mechanisms,. a comprehensive online resource for skin. Melanoma Pathology Outlines.